長期低頭玩手機的人,脖子估計都廢了

大多數的現代人每天都離不開手機,除了心酸,就數頸椎最酸痛了。


尤其是上班族,長時間對著電腦辦公和玩手機,頸椎和腰椎難免會受傷,嚴重會導致脊椎錯位,甚至是腦脊液外漏。


圖片

 

據新華網消息,在春節期間,江蘇省中西醫醫院門診接診量排名第一的是骨傷科,患者大多數就是因為長期低頭玩手機或姿勢不正確,導致脊椎錯位,引起身體各處疼痛。


長期低頭刷手機,真的很傷頸椎!大家夥可別不信。


北京積水潭醫院副院長劉亞軍用了一個非常形象的比喻:玩手機時,低頭的角度約等於30度時,頸椎承受的負荷相當於脖子扛了一袋10公斤的米!

圖片
 
在我們的頸椎中間,有個結構叫椎間盤,它的作用就好比汽車系統里的“減震器”,起到緩沖和分散壓力的作用


能保護脊椎不受直接沖擊,同時也允許頸部進行靈活的運動。


圖片
截圖自微博@央視新聞
 
當低頭時,椎間盤承受的負荷會隨著低頭的角度顯著增加,傾斜到60°就相當於一個小孩壓在你的脖子上!

而作為“減震器”的椎間盤就容易受損,影嚮頸椎正常功能。

傾斜15°≈12公斤

傾斜30°≈10公斤

傾斜45°≈22.5公斤

傾斜60°≈30公斤


長期以往,頸椎一直受到壓迫會影嚮到周邊的神經,導致一系列疼痛與不適,如頭暈、頭痛、胸椎痛、肌肉勞損、關節增生、頸椎老化等等。

此前,浙江大學醫學院附屬邵逸夫醫院神經內科也曾接診過不少,因長時間低頭用電腦、玩手機而頭痛難忍的年輕的“低頭族”

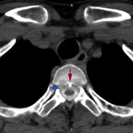
經醫院檢查顯示,患者頸段椎間盤退變,形成骨刺並刺破了硬脊髓膜,造成了脊髓腦脊液滲漏,顱內壓力過低還造成了腦膜血管撕裂和硬膜下出血,有可能威脅生命!


圖片
圖片
患者的脊柱磁共振檢查,可見第2、3胸椎之間有“骨刺”形成,刺破硬脊髓膜,造成腦脊液外漏。

所以,正確的玩手機姿勢,應該是手機和眼睛在同一高度,就像單手看書一樣,並且也要註意時間不能太久,可以放下手機,起來多活動活動。
 
也可以跟著醫生一起來做個頸椎放松操,能緩解脖子酸痛,預防頸椎疾病:
 
(1)扭動脖子,上下左右扭動,以及旋轉,每個方向重複10遍。
 
(2)頸背部拉伸,雙手在頭後交叉,給頭部阻力,然後頭向後靠,保持頭部不動10秒。
 
也可以向後輕微拉伸下巴,好像做一個“雙下巴”動作似的,重複10遍。
 
(3)側向頸部拉伸,用一只手拉住頭的對側,向反方向輕微拉伸。
 
也可以用一只手放在頭部側面,手給頭施加阻力的同時,頭也向反方向用力,期間保持頭部不動。
 
每個動作保持頭部不動10秒,然後再換一個方向,以此反複。


圖片


(4)借助毛巾拉伸,拿一塊毛巾放在脖子後面,兩只手往前拉毛巾;同時脖子先慢慢往後仰(不用仰到底,主要是感受一個對抗的力量)。
 
脖子再慢慢往前,這樣重複做10-20組。
 
最後醫生提醒,各種頸椎操都只適合本身沒有頸椎病,或者只是肩頸略有不適的人預防鍛煉。
如果是已經得了頸椎病的朋友,為了安全就不要自己瞎練啦!一定要遵醫囑治療。